您好,欢迎访问澜沧县妇幼保健院官方网站!

  • 优秀“爱婴医院”
  • 澜沧县婚前优生优育检查定点单位

城乡居民医保

医保定点医疗机构

 扫码关注

【澜沧妇幼官微】

健康宣教

10-30

孕前与孕期叶酸补充科普指南

叶酸是一种对孕妇及胎儿健康至关重要的维生素,它在预防胎儿神经管缺陷(NTD)等出生缺陷方面发挥着关键作用。...

了解更多

10-26

警惕!盆底肌松弛并非绝对不可逆,日常防护是关键

盆底肌松弛并非绝对不可逆,通过科学干预和日常自我管理,功能有机会恢复。别等问题严重才重视,防护措施越早越好!...

了解更多

10-22

传染高发期来了!有人全家“中招”,这种病毒来势汹汹

近日,不少网友发文称,孩子中招了“呼吸道合胞病毒(RSV)”有孩子因此住进ICU。...

了解更多

10-17

科学应对孕期缺铁性贫血,守护母婴安全

怀孕后,很多准妈妈会出现头晕、乏力、面色苍白等症状,这可能是缺铁性贫血在作怪!作为常见并发症,它不仅影响妈妈健康,还可能阻碍胎儿发育。别慌,...

了解更多

10-14

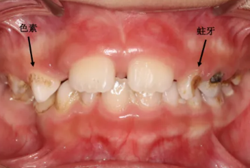
宝宝的牙齿为什么会发黑呢?

一般来说,牙齿发黑有两种可能,牙齿龋坏(蛀牙)或者色素沉着。...

了解更多

10-11

超声检查全攻略

超声检查是体检和疾病筛查的常规项目。但您是否对检查前的准备一头雾水?...

了解更多

10-10

呼吸道合胞病毒的预防措施

呼吸道合胞病毒的预防措施...

了解更多

09-30

秋季养肺正当时!中医智慧助你守护呼吸健康

随着秋风渐起,落叶纷飞,我们迎来了一年中最适合调养肺部的季节——秋季。...

了解更多

09-25

今年的流感疫苗,你接种了吗?

今年的流感疫苗,你接种了吗?...

了解更多

09-21

以减盐带动减油减糖,培养家庭良好饮食习惯

以减盐带动减油减糖,培养家庭良好饮食习惯...

了解更多
12345